Case Reports
Post-LASIK ectasia treated with intrastromal corneal ring segments and corneal crosslinking
Subperiosteal hematoma in multiple settings
Iatrogenic choroidal neovascularization following idiopathic epiretinal membrane peel

Grand Rounds
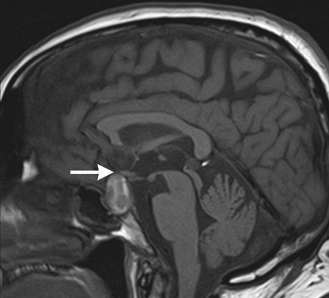
A 64-year-old woman with dilated right pupil, nausea, and headache

Published: 2013-03-31