Choroidal detachment and hypotony maculopathy following blunt trauma
Main Article Content
Abstract
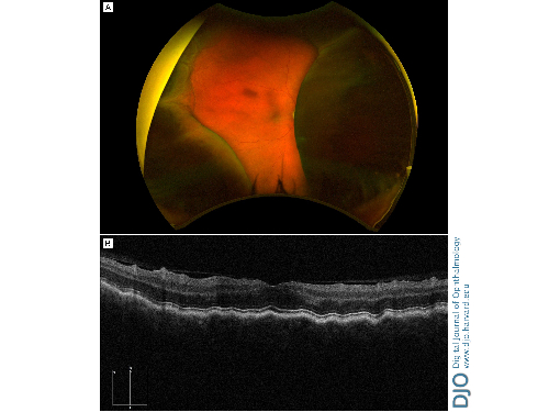
A 55-year-old man with a history of bilateral trabeculectomy surgery presented emergently at the Sydney Eye Hospital after having been struck in the right eye by a rubber mallet. His chief symptoms were pain, blurred vision, photopsias, and visual field constriction in the affected eye. Visual acuity in the right eye was 20/30; intraocular pressure, 8 mm Hg. Visual fields to confrontation were grossly restricted. The conjunctival bleb was formed but shallower than the bleb in his left eye. No leak was demonstrated from the bleb or the cornea on Seidel testing. The anterior chamber was shallow but formed. There were no pigmented cells in the anterior vitreous. Dilated fundus examination revealed choroidal detachments (A), with no retinal detachment, retinal tear, or commotio retinae, and macular corrugations—consistent with hypotony maculopathy, which was confirmed on ocular coherence tomography (B). These changes were attributed to aqueous leakage from the trabeculectomy bleb, which was presumed to have spontaneously sealed. The condition was managed conservatively because of a negative Seidel sign and low risk of endophthalmitis. At follow-up 1 month after presentation, the anterior chamber had reformed, intraocular pressure was 9 mm Hg, and the choroidal detachments and hypotony maculopathy were resolving.

Downloads
Article Details

This work is licensed under a Creative Commons Attribution-NonCommercial-NoDerivatives 4.0 International License.